
Abdullah F a, Alikhani M a, Teixeira CC a, Weitz La, Sangsuwon C a , Nervina JM a, Alikhani M a,b
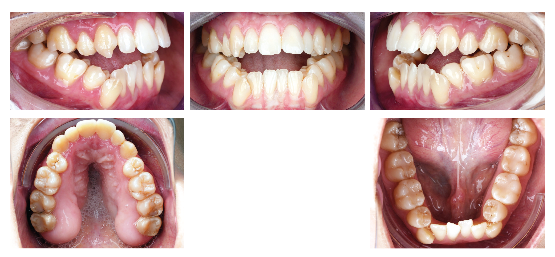
Figure 1: Intra-oral manifestation of a patient with Nemaline Myopathy. Intraoral images of the patient demonstrated severe open bite, severe retroclination of mandibular anterior teeth, severe crowding in the lower arch, severe overjet, and divergent upper and lower occlusal planes.
Figure 2: Lateral cephalogram of the patient with Nemaline Myopathy. (A) The patient demonstrated clockwise rotation of the mandible, which gives the patient a Class II skeletal relationship, increased mandibular plane angle, and increased lower facial height. The soft palate was very prominent (red arrow). (B) cephalometric tracing and analysis.
Table I: Cephalometric analysis of the patient with NM. Skeletal and dental measurements where completed on a Cephalogram obtained before initiation of treatment (deg= degrees, mm= milimeters).
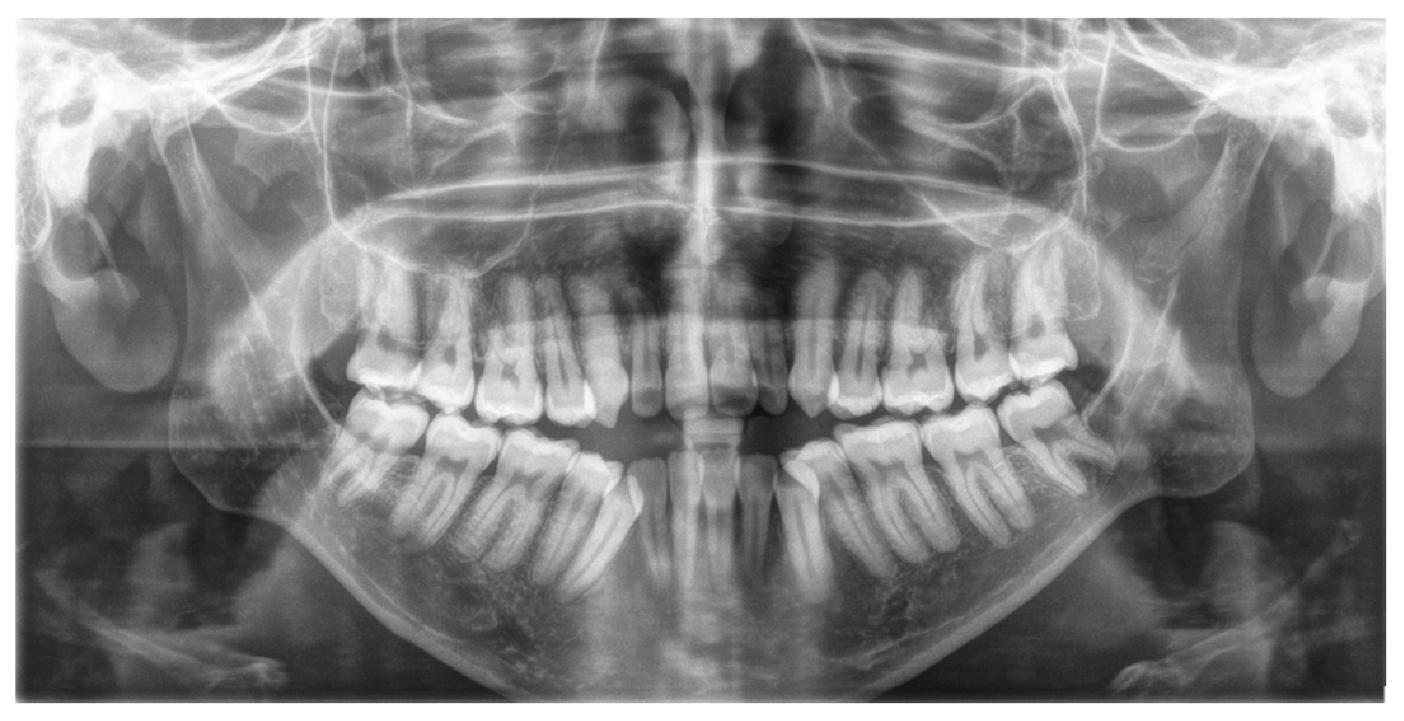
Figure 3: Panoramic radiography of a patient with Nemaline Myopathy. Initial panoramic radiograph shows all teeth fully developed, the absence of 4 premolars, rounded dental roots, long and narrow condylar neck, short coronoide process, marked antegonial notch. All teeth were fully developed. The mesial inclination of the maxillary and mandibular posterior teeth was prominent, typical of anterior open bite cases.
Figure 4: Intraoral and CBCT of the Palate of the NM patient. Palate demonstrates a severe soft tissue cleft, uncommon in most malocclusions (A). CBCT demonstrated a thin palate (B); however, no cleft in the bone was observed. The palate was significantly deeper than that of the matched open bite (C) and the matched control patient (D).Â
Figure 5: Lateral view of the mandible comparing coronoid processes. 3D CBCT reconstructions show the right mandibular view of (A) NM, (B) matched open bite and (C) matched control patients. Note the hypoplastic coronoid process in the NM patient (yellow arrow). Also note the clockwise rotation of the mandible (blue curved arrow) and the prominent anti-gonial notch (blue straight arrow) in both the NM, which is present but smaller in the matched open bite patient and is absent in the match control patient.
Figure 6: Condyle of a patient with Nemaline Myopathy. Radiographic images show the righ The right and left mandibular condyles of an NM patient (A), a matched open bite (B), and a matched control patient (C). The decrease in size, thinner cortical bone, less trabecular bone, and longer neck differentiate the NM patient from the matched patients.
Figure 7: Zygomatic bone in NM patients. 3D CBCT reconstruction of the (A) NM patient, (B) matched open bite patient, and (C) matched control patient. The orbital rim, zygoma, and maxilla body demonstrate thinner cortical bone and more porosity.
Figure 8. Upper and lower alveolar bone, palate, and symphysis in an NM patient. Radiographic images of the NM patient (A, D), matched open bite (B, E), and matched control patients (C, F). The red bar demonstrates the distance between the palate and the apex of the first molar, while the yellow bar demonstrates the distance between the border of the mandible and the apex of the first molar.
Figure 9: Sporadic Ossification in NM patients. Radiographic images show sporadic ossification in the form of a bridge in the sella turcica (A), fusion of the pterygoid process of the sphenoid bone to the posterior wall of the maxilla in the pterygomaxillary fissure (B), nasal septum (C), and neck in the area of the epiglottis (D).
Figure 10: Spine-cranium asymmetry in NM patients. CBCT reconstruction of an axial view, demonstrates a significant asymmetry in the patient’s spinal and cranial axes.Â