
Abdullah Fa, Teixeira CCb, Alikhani Ma,c
What should we do if a patient with a history of trauma is referred to our office presenting with intrusive-luxation of several teeth, and a fracture of the alveolar bone requiring rigid fixation? How long should the rigid fixation be kept in place, and what are the potential consequences of the time lapsed between fixation and orthodontic treatment? What are the chances of addressing the open bite by orthodontic treatment if the patient also has ankylosed teeth? Is orthodontic treatment doomed to fail in these complicated trauma cases? In this case report, we discuss the successful treatment of an adult patient with a history of bicycle accident who sought orthodontic treatment due to a severe open bite developed after trauma. The accident also caused a fracture of the alveolar bone, intrusive luxation of left anterior teeth and a crown fracture of the upper left premolar. Five months after the accident, the patient presented with rigid fixation in place and an ankylosed upper left lateral incisor. A personalized Mechanotherapy plan was delivered to address this malocclusion and the challenges caused by the accident, establishing a normal and functional occlusion with a complete dentition. Â
Keywords: maxillary fixation, arch bar, dento-alveolar segment, ankylosis, luxation, dental trauma, dental injury
Dental trauma is a significant health concern impacting people of all ages. The repercussions of such injuries extend beyond physical health, affecting psychological and social development [1, 2]. The prevalence of dental trauma is not uniform; it varies markedly across different populations and age demographics due to factors like socioeconomic status, geographic location, and involvement in sports or recreational activities [3, 4]. One of the common areas of trauma in the oral cavity is trauma to the anterior teeth and the surrounding alveolar bone.
The significance of anterior teeth, particularly incisors and canines, cannot be overstated. These teeth are crucial for their aesthetic appeal and play essential roles in speech, chewing, and cutting functions [5]. The health of these teeth profoundly impacts an individual’s self-esteem and social interactions, which makes preserving their integrity vital [1, 2, 6]. The spectrum of trauma to the anterior dental-alveolar region encompasses a variety of injuries, from minor enamel fractures to more severe conditions like crown-root fractures, luxation injuries (where the tooth becomes dislocated from its socket), avulsion (the complete loss of the tooth), and dento-alveolar bone fractures. After immediate care, splinting is required to decrease the mobility of the injured tooth or surrounding bone and provide stability to allow healing of the surrounding tissue over time. But how long should the splinting continue, and what type of splint, rigid or flexible, should be used?
In cases of dentoalveolar segment fracture, stabilizing the segment often requires using a fixation bar in the maxillary arch [7]. While this method is typically recommended for up to four weeks to allow for initial healing, prolonged fixation poses a risk of tooth ankylosis [8, 9]. This pathological fusion can complicate future orthodontic or prosthetic interventions, impacting both dental function and aesthetic outcomes.
Here, we present a case in which the patient reported a fracture of the anterior segment of the alveolar bone, a fracture of multiple anterior teeth at the level of the enamel, and intrusive subluxation of several anterior teeth. The hospital installed rigid fixation during emergency care that was kept in place for 5 months, at which time the patient was referred to the CTOR clinics for treatment of an anterior open bite. Upon examination we discovered that one of the intruded anterior teeth was ankylosed. Perhaps this ankylosis could have been prevented if the rigid fixation was not maintained past the recommended 4 weeks. In this case report, we discuss a successful outcome of subluxation of an ankylosed tooth, followed by personalized mechanotherapy to correct the open bite and establish a functional occlusion. In a follow-up retention visit it was confirmed that none of the anterior teeth presented signs of ankylosis.
A 23-year-old male in good health visited our clinic with history of significant trauma to the anterior region of the maxillary alveolar bone as a result of a bicycle accident. While we did not have access to his medical records to assess the magnitude of the original trauma, the patient reports that after the accident, he was rushed to the emergency room, where he was diagnosed with a fracture of the alveolar bone, intrusive luxation of upper left incisors and canine, crown fracture of upper left premolar, and chipped enamel in some anterior teeth. At the time of examination at the CTOR clinic, 5 months had passed since the accident. The patient presented with rigid fixation in the format of the labial bar, which was extended from the upper right to the upper left first molars, a root canal of the upper left first premolar and a temporary filling, and an open bite in the upper left anterior region. He did not report any temporomandibular joint (TMJ) symptoms. The patient reported habits of snoring, grinding, and nail-biting.
Extraoral examination and frontal portrait photographs (Figure 1) showed a brachyfacial pattern. No facial asymmetry, mentalis strain, or lip incompetence at rest were observed.Â
The profile photographs (Figure 1 and Table 1) revealed a straight facial pattern, with the maxillary and mandibular lips appearing retrusive in relation to the E-line. The patient’s full smile was broad, with an irregular smile line along the maxillary arch. The incisal display during smiling ranged from 50% to 90%.
Intraoral examination (Figure 1) revealed fair oral hygiene and normal frenum attachment. An arch bar was secured between the right and left maxillary first molars. There was an open bite induced by trauma affecting the maxillary left central and lateral incisors, and left canine. The incisal edges of the maxillary left central and lateral incisors showed signs of fracture. The maxillary left lateral incisor was slightly discolored and ankylosed, producing a solid sound upon percussion. A diastema was noted between the maxillary central incisors. Additionally, the crown of the maxillary first left premolar was fractured, root canal treatment completed and a temporary filling placed. The gingival height of contour was improperly positioned. The maxillary arch exhibited asymmetry, with buccal displacement of the dento-alveolar segment observed in the maxillary left central and lateral incisors, and left canine. Mandibular tori were observed on the lingual surface of the alveolar bone.
Digital cast analysis (Figure 2) indicated a Class I molar and canine relationship on both the right and left sides. The overjet was between 2 and 4 mm, while the overbite ranged from 2 to -3.2 mm. Both the maxillary and mandibular dental arch widths were within normal limits, with the maxillary inter-canine and inter-molar widths measuring 35.6 mm and 43.5 mm, respectively. The mandibular inter-canine and inter-molar widths were 26.3 mm and 36.1 mm, respectively. Mild crowding was observed in the mandibular arch, with a dental arch space deficiency of 3.3 mm in the mandible. Additionally, a Bolton discrepancy of 0.5 mm was noted due to anterior maxillary teeth excess. Furthermore, marginal ridge discrepancies were present on both maxillary and mandibular arches.
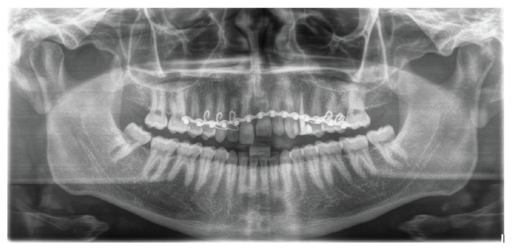
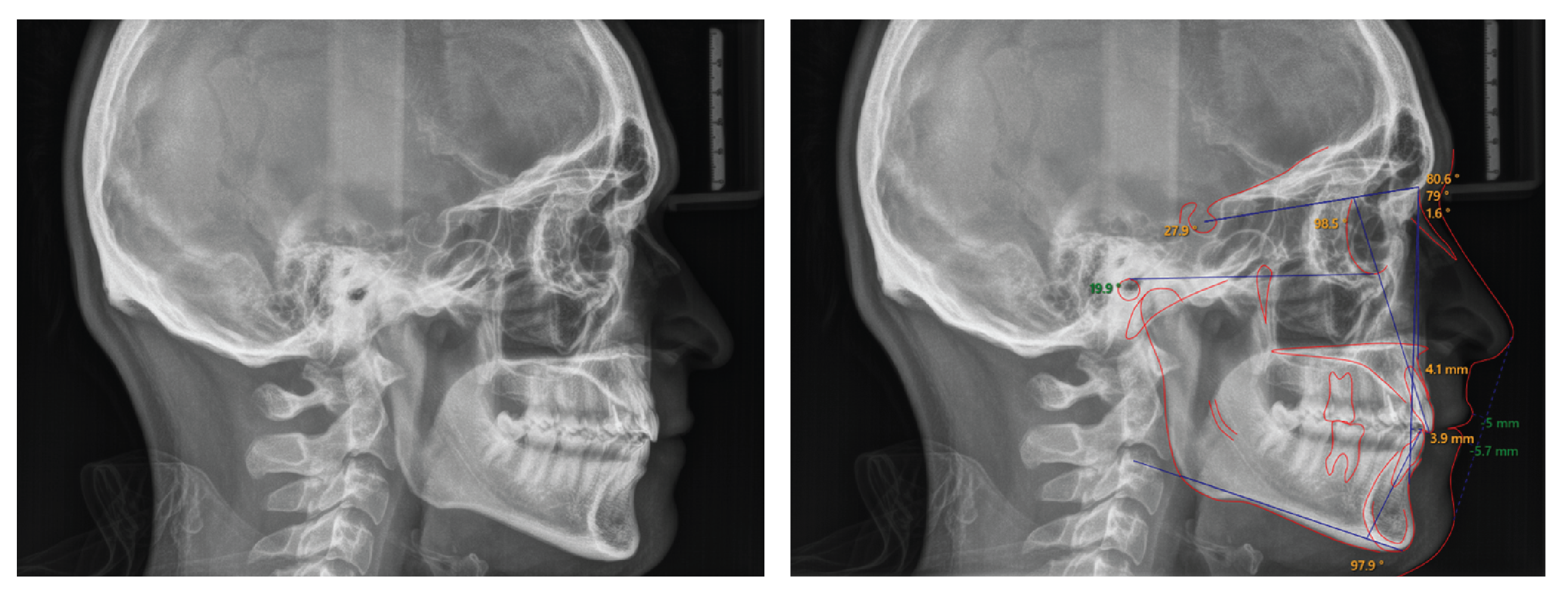
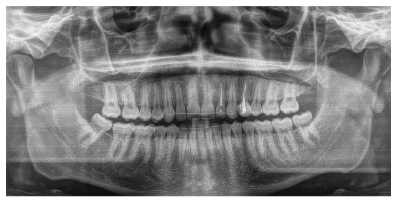
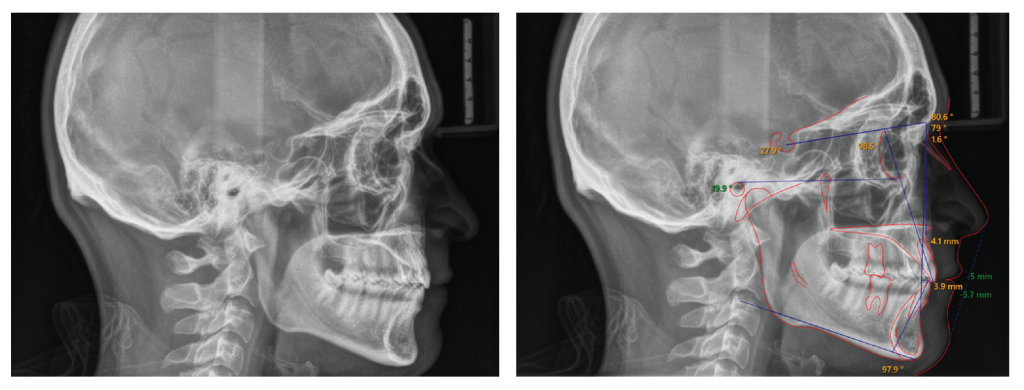
The panoramic radiograph (Figure 3) revealed a complete dentition except for the maxillary third molars, which had been previously extracted. The roots of all teeth were fully developed, but there were signs of blunting on the maxillary left central and a fracture at the tip of the apex on the maxillary lateral incisor. Remodeling of the condyles was also observed. Lateral cephalometric analysis (Figure 4 and Table I) revealed a skeletal Class I relation (ANB= 2°) with a hypo-divergent mandible (FMA = 19.5°). The inclinations of the maxillary and mandibular incisors were within normal limits, with U1°- SN measuring 101.2° and IMPA measuring 99.3°, respectively). Soft tissue analysis indicated that the distances from the upper and lower lips to the E-line were deficient, measuring -4.9 mm and -5.2 mm, respectively.
Figure 1: Pre-treatment portrait and intra-oral photographs. Lateral profile photograph shows a straight profile with retrusive maxillary and mandibular lips. Frontal portrait photographs show 50-90% incisal display upon smiling; the maxillary dental midline coincides with the facial midline, and the mandibular midline is deviated 1.5 mm to the left in relation to the maxillary midline. Intraoral photographs reveal an open bite on the maxillary left central, lateral, and canine. The incisal edges of the maxillary left central and lateral teeth showed signs of fracture, and the maxillary left lateral was slightly discolored and ankylosed, producing a solid sound upon percussion. A diastema was noted between the maxillary centrals, and the crown of the left maxillary first premolar was fractured with a temporary filling. The marginal gingiva was not aligned, with the gingival height of contour improperly positioned. The maxillary third molars were not present. Occlusal photographs show symmetrical maxillary and mandibular arches, buccal displacement of the dento-alveolar segment in the maxillary left central, lateral, and canine teeth, and the presence of mandibular tori on the lingual area of premolars and first molar.
Figure 2: Pre-treatment digital casts. Pre-treatment digital casts show a Class I molar and canine relationship on the right side, a Class I molar relation on the left side, and a Class II canine relation on the left side with an open bite on the maxillary left central, lateral, and canine. Both maxillary and mandibular dental arch widths were mildly constricted, with mild crowding in the mandibular arch. We can also observe marginal ridge discrepancies on both maxillary and mandibular arches, and a Bolton discrepancy due to a maxillary anterior teeth excess.
Figure 3: Pre-treatment panoramic radiograph. Panoramic radiograph shows a complete dentition except for the absence maxillary third molars, with the roots of all teeth fully developed. Signs of blunting on the maxillary left central, and a fracture at the tip of the apex on the maxillary left lateral incisor can be observed. Remodeling of the condyles is also visible. Mandibular morphology shows prominent gonial angles.
Figure 4: Pre-treatment lateral cephalometric radiograph and analysis. Pre-treatment lateral cephalometric radiograph shows a skeletal Class I jaw relation (ANB is 2°), hypo-divergent mandible (FMA is 19.5°), and upper and lower incisor inclination within normal limits. Soft tissue analysis indicates that the distances from the maxillary and mandibular lips to the E-line were increased, suggesting lip retrusion.
Table I: Cephalometric Analysis Pre- and Post-treatment. Angular and linear measurements were completed between craniofacial skeletal, dental, and soft tissue landmarks identified on pre- and post-treatment lateral cephalograms (° – degrees, mm – millimeters).
The primary objective of treatment was to establish a functional and stable occlusion while enhancing facial and dental esthetics. The specific objectives were as follows:
I. Facial Esthetics: Improve smile esthetics, and symmetry of incisor display
II. Skeletal Objectives: Maintain current skeletal relationsÂ
III. Dental Objectives:Â
• Remove the surgical arch bar from the maxillary arch.Â
• Luxate the left maxillary lateral incisor, to release the ankylosis and allow movement.Â
• Extrude the maxillary left central incisor, lateral incisor, and canine to establish a normal overbite.Â
• Retract and retrocline the maxillary left central incisor, lateral incisor, and canine to reduce overjet.Â
• Develop and coordinate the maxillary and mandibular dental arches.Â
• Eliminate crowding in the mandibular arch.Â
• Level the gingival margins and height of contour, and correct displacement of the dento-alveolar bone in the area of maxillary left central incisor, lateral incisor, and canine.Â
• Correct marginal ridge discrepancies.Â
• Monitor root resorption of the maxillary left central and lateral incisors.
• Restore the fractured incisal edges of the left maxillary central and lateral incisors.
• Extrude the maxillary left first premolar to avoid crown lengthening and refer the patient to a prosthodontist for crown restoration.
• Refer the patient to an endodontist to assess the vitality of the left maxillary lateral incisor and determine if a root canal is necessary.
The maxillary arch bar was removed under local anesthesia [10], setting the stage for the next phase of treatment. A full maxillary setup was initiated (excluding the upper left central and lateral incisors) and progressed gradually to a rectangular stainless steel (ss) arch wire bypassing the maxillary left central and lateral incisors. Brackets were bonded to the maxillary left lateral and central incisors and we luxated the maxillary left lateral incisor under local anesthesia, ensuring patient comfort throughout the procedure. A light force was applied using an overlay nickel-titatnium (NiTi) wire to both the maxillary left central and lateral incisors to facilitate their extrusive movement. The anchor teeth were further stabilized with vertical elastics in the canine area. In the mandibular arch, we started with sectional mechanics, and progressed to a full braces setup for functional and aesthetic improvement. This multi-faceted approach not only addressed the immediate concerns with arch asymmetries but also laid the groundwork for a healthier, more harmonious dental arch.
I. Significant improvement of facial esthetics upon smile
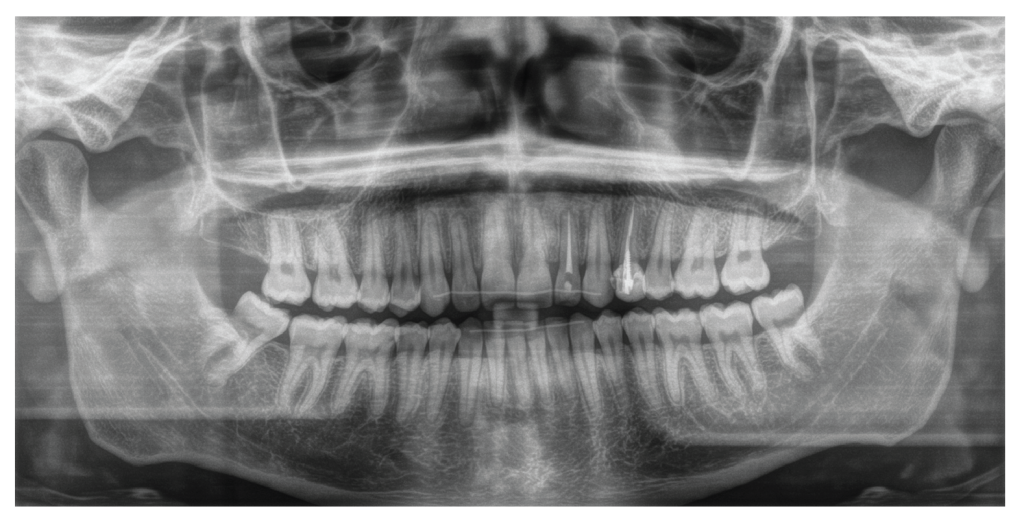
Treatment significantly improved the patient’s convex smile line. An evaluation of the gingival display showed that the gingival margins were leveled, and the height of contour around the maxillary anterior teeth was optimized, without a gingivectomy or negatively impacting the patient’s periodontal health. The displaced dento-alveolar segment in the maxillary left anterior region was repositioned and stabilized, returning the teeth and bone to their normal position and function after orthodontic treatment. Additionally, the fractured incisal edges of the maxillary left central and lateral incisors were restored. After slight extrusion of the root of the maxillary left first premolar to prevent the need for crown lengthening, the crown of the maxillary left first premolar was restored (Figure 5). Both maxillary and mandibular dental midlines were aligned with the facial midline.
II. Digital Cast Analysis
An analysis of the cast at the end of treatment revealed the following outcomes:
1) The maxillary and mandibular dentitions demonstrated mild transverse development, with a slight increase in inter-molar width of 0.4 mm and inter-canine width of 1.2 mm in the maxilla. In the mandible, there was no increase in inter-molar width; however, the inter-canine width increased by 2.3 mm (Figure 6).
2) A Class I canine relationship was achieved on the left side, and the molar relationship was maintained on this side. On the right side, both Class I molar and canine relationships were maintained.
3) The crowding in the mandibular dental arch was eliminated.Â
4) The open bite on the left side was closed, resulting in a normal overbite of 2 mm and an overjet of 1.5 mm.Â
5) Dental marginal ridge were leveled
III. Panoramic Radiograph Analysis
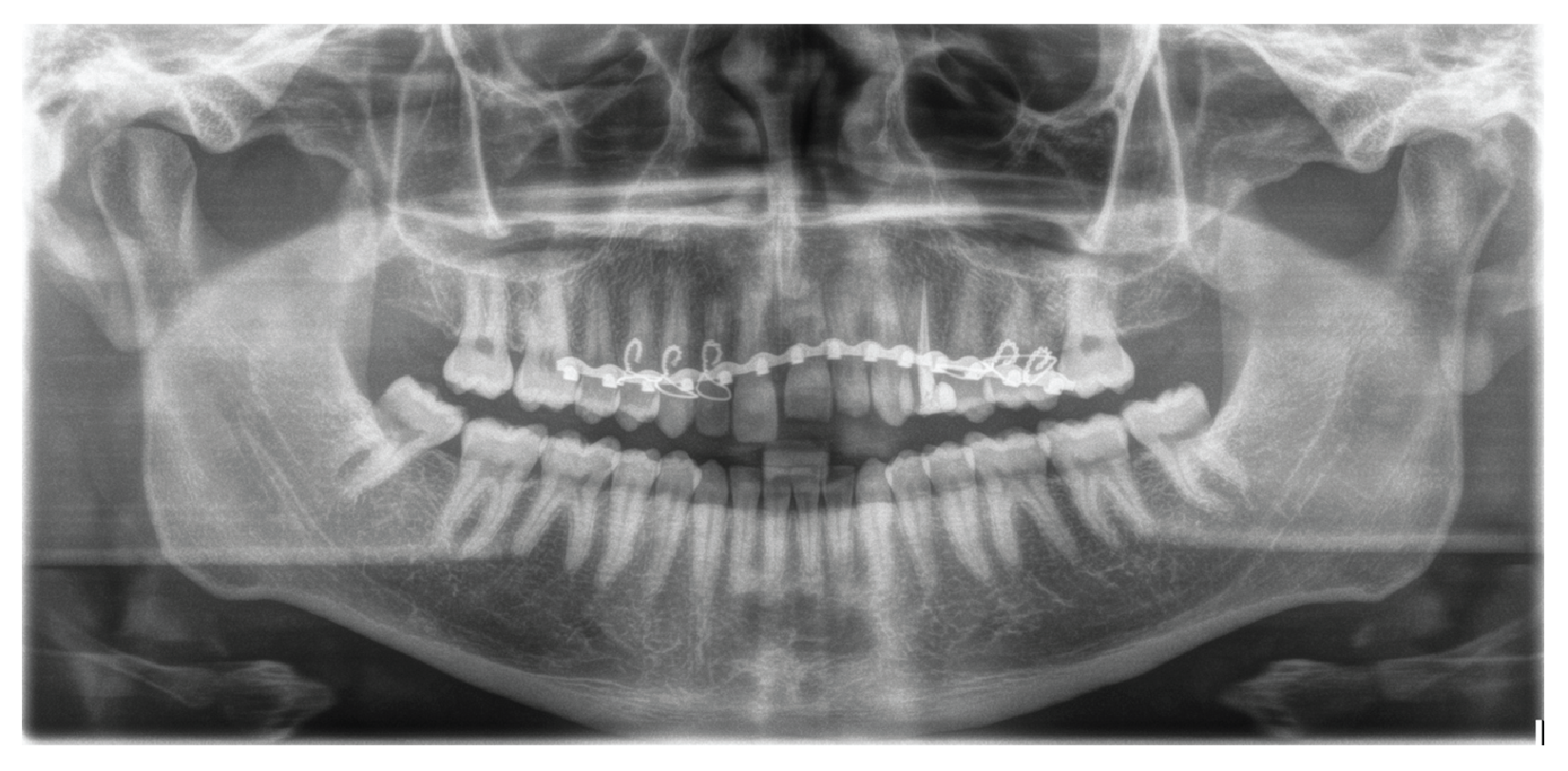
Post-treatment panoramic radiograph (Figure 7) shows proper root alignment with no further root resorption of the maxillary left central and lateral incisors. The maxillary left lateral incisor underwent root canal treatment and received a permanent restoration.
IV. Cephalometric Analysis
Lateral cephalometric analysis (Figure 8 and Table I) indicates that we maintained the sagittal (ANB = 1.6°) and vertical relation (FMA = 19.9°) of the jaws, and retroclined and extruded upper incisors.
V. Retention
Upper and lower fixed lingual retainers were bonded, and removable retainers were fabricated for night time usage. The patient was followed for two years, and during this time, the patient did not show any signs of relapse.
Figure 5: Post-treatment portrait and intra-oral photographs. Post-treatment photographs show a significant improvement in the smile esthetics, correction of the smile line, and symmetric vertical incisor display. Intra-oral photographs show maxillary and mandibular arch development, aligned dentition in the maxillary and mandibular arches, normalized incisal inclination into an ideal overjet and overbite, and Cass I molar and canine occlusal relation. Both maxillary and mandibular dental midlines are aligned with the facial midline. Gingival margins and heights of contour improved around the anterior teeth. The morphology of the displaced dento-alveolar bone that affected the maxillary left central incisor, lateral incisor, and canine, was significantly improved. Lingual fixed retainers are shown extending from canine to canine on both arches.
Figure 6: Post-treatment digital casts. Post-treatment digital cast analysis showed Class I molar and canine relationships on both sides. And ideal overbite and overjet were established, marginal ridges were leveled, the dentition was aligned, and both arches were developed transversely.
Figure 7: Post-treatment panoramic radiograph. Panoramic radiograph at the end of treatment showed proper root alignment with no further root resorption of the maxillary left central and lateral incisors. The maxillary left lateral incisor underwent root canal treatment and received a permanent restoration.
Figure 8: Post-treatment lateral cephalometric radiograph. Post-treatment cephalometric radiograph shows an ideal overjet and overbite, slight retroclination of the maxillary incisors (98.5°) and minimal proclination of the mandibular incisors (100.2°). The sagittal and vertical relation of the jaws were maintained.
Figure 9: Superimposition of pre- and post-treatment cephalometric tracings. Cephalometric superimposition of pre-treatment (black tracing) and post-treatment (red tracing) on the anterior cranial base shows extrusion of the maxillary incisors, Class I jaw relation (A). Superimposition on the body of the maxilla shows maxillary incisor extrusion & retrusion (B). Superimposition based on the inferior-alveolar nerve and inner profile of the mandibular symphysis reveals maintained lower molar & incisor positions (C).Â
What if a new patient with a history of trauma seeks treatment in our office? In this case, the patient presented with multiple injuries: alveolar bone fracture, intrusive luxation, ankylosis, and fractured enamel.Â
Depending on the extent of the alveolar bone fracture, the type of splinting and duration of splinting can differ. If the extent of the fracture is such that the fragments’ stability requires rigid fixation, an arch bar splint can be used (similar to this case). However, the duration of fixation should not be more than 4 weeks. On the other hand, when possible, bonding brackets to the teeth and stabilizing with flexible orthodontic wires, can not only achieve fragment stability but also allows the physiologic movement of the teeth. In general, non-physiologic fixation of displaced teeth for a long time can interrupt the proper healing of periodontal and pulpal tissues and not only prolong the wound healing process, but may also lead to preservation of otherwise transient ankylosis, as was observed in this case [8, 9, 11, 12]. In this report, since the patient presented 5 months after the injury, and we did not have access to the patient’s original files, the extent of the original alveolar fracture was unclear. However, the fact that emergency room doctors decided to deliver rigid fixation argues that the fracture of the alveolar bone may have been severe.
Intrusive-luxation is the displacement of the tooth apically into the alveolar bone and is often accompanied by a fracture of the alveolar bone. The incidence of intrusive-luxation is around 0.3- 2.4% of the traumas affecting permanent dentition [13]. Intrusion can significantly damage the gingiva, periodontal ligament (PDL), and bone. Radiographically, the PDL appears partially obliterated, and due to the locked position in the bone, the teeth may not be sensitive to percussion and may be firm in their socket. If these teeth are fixed in this intruded position for more than 4 weeks the possibility of ankylosis increases significantly, which can be diagnosed by a combination of metallic sounds during percussion and the lack of response to orthodontic forces.Â
Three possible treatment options exist for intruded teeth that are not ankylosed: spontaneous re-eruption, surgical repositioning, and orthodontic repositioning [14]. Intruded teeth with immature root formation may re-erupt spontaneously. However, this rarely happens in teeth with completed root formation (like in the case report here), and therefore, this option should be confined to patients with immature root formation. Surgical repositioning has been suggested, whereby the intruded tooth is brought back to its original position and splinted [15]. However, caution should be taken since this can cause attachment loss and hinder development of alveolar bone around the tooth, increasing the clinical crown length.Â
The best option for treating non-ankylosed intruded teeth is orthodontically-guided eruption [16]. The design of the mechanics, however, depends on the magnitude of intrusion and the period of time between trauma and treatment. In cases where the intrusion is significant and the teeth have been stabilized for long time, we suggest, as demonstrated in this case, that the clinicians stabilize the adjacent teeth with rigid wire and use a flexible overlay wire to extruded the tooth or teeth. A rigid wire bypassing the target teeth plays two significant roles: first, they prevent the anchor teeth from moving, and second, they preserve the space for the extrusion of intruded teeth. The lapsed time between trauma and the treatment may allow the periodontium and alveolar bone to heal, and therefore, a higher magnitude of force may be required to extrude the traumatized teeth. This produces reaction intrusion forces on adjacent teeth that can extend the open bite bilaterally. In addition, the moments that appear on both sides of intruded teeth can tilt the adjacent teeth toward the space that should be preserved for the extrusion of the intruded teeth. On the other hand, a flexible wire that exerts a light force can gradually extrude the target tooth or teeth. Since the periodontal ligament attachment is preserved in this condition, the alveolar bone will drift with the extruding teeth, while the architecture of the surrounding tissues, and the crown-to-root ratio will be preserved.
If the time between the trauma and treatment is just a few days, the surrounding tissue does not have enough time to heal, and therefore, the force required to extrude the traumatized teeth is lower. Therefore, reaction forces and moments will be small. In these conditions, there is no need for rigid wire, and flexible wire can be engaged in all the teeth to achieve proper extrusion without harming the adjacent teeth.
But what happens if the intruded tooth gets ankylosed? While long-term stability by rigid fixation can significantly increase the chance of ankylosis, any severe injury to the PDL can be accompanied by the possibility of ankylosis. As a result of this fusion, an ankylosed root can be continuously resorbed and gradually replaced by bone, until the entire root is resorbed [17, 18]. This condition is progressive, and the resorption rate seems to vary with age. In young individuals, in whom bone remodeling is high, an ankylosed tooth may be completely resorbed within 4-5 years, while in an older individual, where the bone remodeling is slow, the tooth can remain functional for a very long period, possibly throughout life. It has been assumed that when the process starts, there is no way to arrest or reverse the process. Based on this assumption, no attempt is taken to move the ankylosed tooth. However, this assumption is too generalized and not necessarily true for early stages of ankylosis, as we have demonstrated here.
The treatment suggested for ankylosed teeth depends on the age of the patient. In an adult patient, it has been suggested not to extract the ankylosed tooth so it can gradually be replaced by bone. This way, we can preserve the bone, and when an ankylosed tooth is entirely replaced by bone, we can insert an implant. Extraction of an ankylosed tooth may involve loss of alveolar bone, particularly the thin buccal plate, with the resulting bony defect significantly complicating the restoration. Therefore, this is not considered the best choice. While waiting for the ankylosed tooth to be replaced with bone, we can restore some function and esthetics by building up the tooth with composite. Surgically repositioning the tooth has been suggested; however, the height of the alveolar bone will not change, and due to deficient bone support, the long-term prognosis is poor. Others have suggested bone distraction by dento-osseous osteotomy of the arch segment including the ankylosed tooth and surrounding bone [19]. This treatment is complex, and if the ankylosed tooth is gradually replaced by bone, it is unjustified. Autotransplantation of a premolar to substitute for an ankylosed incisor has also been proposed [20]. However, this approach requires additional treatment to replace the relocated premolar. Another common treatment is decoronation of the infrapositioned tooth to preserve the bone, while the crown can be splinted to adjacent teeth as a temporary restoration [21]. After bone replacement of the root, which may take a few years, the area is ready for implant insertion. In all of these approaches, it has been assumed that ankylosed teeth cannot be moved orthodontically. However, as it was shown here, this assumption is not correct. At an early stage of ankylosis, it is possible to provide successful orthodontic treatment by subluxation of ankylosed teeth, which allows the teeth to move, restoring its functional relationship with adjacent teeth. In this case report, the ankylosed tooth did not progress to ankylosis during treatment, or during the two-year follow-up. But even if the tooth with a history of ankylosis becomes ankylosed again, the height of the alveolar bone has been corrected orthodontically, and the tooth can function for a long time. In this case, the orthodontic extrusion of the upper left first premolar allowed better crown esthetics without significantly decreasing the crown-to-root ratio, as has been shown previously [22].
 Orthodontic movement of teeth after trauma can significantly improve the smile esthetics, remodel the traumatized alveolar bone into its original form, improve periodontal support and crown availability for restoration of fractioned teeth, while in combination with subluxation allows movement of ankylosed teeth into healthier occlusal relations in the arch. For all reasons mentioned above, orthodontic movement should be considered the best treatment option for teeth dislocated by trauma, and be initiated a few weeks after the event to avoid occurrence of ankylosis.
This case report is innovative in two aspects. First, it suggests that at the early stages of ankylosis, subluxation combined with orthodontic treatment can provide a predictable treatment option, especially for adults. This differs from previous reports indicating that orthodontic treatment of ankylosed teeth is contraindicated. Second, it proposes reliable orthodontic mechanics that protect the anchor teeth while allowing movement of the target tooth with light forces, or even higher forces when the orthodontic treatment is provided at later stages of ankylosis.Â
1. Lee JY, Divaris K. Hidden consequences of dental trauma: the social and psychological effects. Pediatr Dent. 2009;31(2):96-101. PubMed PMID: 19455926.
2. Diab M, elBadrawy HE. Intrusion injuries of primary incisors. Part I: Review and management. Quintessence Int. 2000;31(5):327-34. PubMed PMID: 11203943.
3. Glendor U. Aetiology and risk factors related to traumatic dental injuries–a review of the literature. Dent Traumatol. 2009;25(1):19-31. doi: 10.1111/j.1600-9657.2008.00694.x. PubMed PMID: 19208007.
4. Bastone EB, Freer TJ, McNamara JR. Epidemiology of dental trauma: A review of the literature. Australian Dental Journal. 2000;45(1):2-9. doi: https://doi.org/10.1111/j.1834-7819.2000.tb00234.x.
5. Le Révérend BJD, Edelson LR, Loret C. Anatomical, functional, physiological and behavioural aspects of the development of mastication in early childhood. British Journal of Nutrition. 2014;111(3):403-14. Epub 2013/09/24. doi: 10.1017/S0007114513002699.
6. Kaur P, Singh S, Mathur A, Makkar DK, Aggarwal VP, Batra M, et al. Impact of Dental Disorders and its Influence on Self Esteem Levels among Adolescents. J Clin Diagn Res. 2017;11(4):Zc05-zc8. Epub 20170401. doi: 10.7860/jcdr/2017/23362.9515. PubMed PMID: 28571250; PubMed Central PMCID: PMCPMC5449896.
7. Shenoi SR, Rao C. Arch Wire: A Novel Technique for Intra-Maxillary Fixation. J Maxillofac Oral Surg. 2016;15(4):547-8. Epub 20151215. doi: 10.1007/s12663-015-0865-3. PubMed PMID: 27833351; PubMed Central PMCID: PMCPMC5083685.
8. Veras SRA, Bem JSP, de Almeida ECB, Lins C. Dental splints: types and time of immobilization post tooth avulsion. J Istanb Univ Fac Dent. 2017;51(3 Suppl 1):S69-s75. Epub 20171202. doi: 10.17096/jiufd.93579. PubMed PMID: 29354311; PubMed Central PMCID: PMCPMC5750830.
9. Kahler B, Hu J-Y, Marriot-Smith C, Heithersay G. Splinting of teeth following trauma: a review and a new splinting recommendation. Australian Dental Journal. 2016;61(S1):59-73. doi: https://doi.org/10.1111/adj.12398.
10. Sailesh Kumar R, Venugopalan V, Raghu K, Raja Sethupathy Cheeman S. Arch Bar Removal—How to Do It? A Short Note. Journal of Maxillofacial and Oral Surgery. 2023. doi: 10.1007/s12663-023-02048-6.
11. Nasjleti CE, Castelli WA, Caffesse RG. The effects of different splinting times on replantation of teeth in monkeys. Oral Surgery, Oral Medicine, Oral Pathology. 1982;53(6):557-66.
12. Kristerson L, Andreasen JO. The effect of splinting upon periodontal and pulpal healing after autotransplantation of mature and immature permanent incisors in monkeys. Int J Oral Surg. 1983;12(4):239-49. doi: 10.1016/s0300-9785(83)80049-0. PubMed PMID: 6418671.
13. Andreasen JO, Bakland LK, Matras RC, Andreasen FM. Traumatic intrusion of permanent teeth. Part 1. An epidemiological study of 216 intruded permanent teeth. Dent Traumatol. 2006;22(2):83-9. doi: 10.1111/j.1600-9657.2006.00421.x. PubMed PMID: 16499631.
14. Diangelis AJ, Andreasen JO, Ebeleseder KA, Kenny DJ, Trope M, Sigurdsson A, et al. International Association of Dental Traumatology guidelines for the management of traumatic dental injuries: 1. Fractures and luxations of permanent teeth. Dent Traumatol. 2012;28(1):2-12. doi: 10.1111/j.1600-9657.2011.01103.x. PubMed PMID: 22230724.
15. Andreasen JO. Luxation of permanent teeth due to trauma. A clinical and radiographic follow-up study of 189 injured teeth. Scand J Dent Res. 1970;78(3):273-86. doi: 10.1111/j.1600-0722.1970.tb02074.x. PubMed PMID: 5273695.
16. Humphrey JM, Kenny DJ, Barrett EJ. Clinical outcomes for permanent incisor luxations in a pediatric population. I. Intrusions. Dent Traumatol. 2003;19(5):266-73. doi: 10.1034/j.1600-9657.2003.00207.x. PubMed PMID: 14708651.
17. Andersson L. Dentoalveolar ankylosis and associated root resorption in replanted teeth. Experimental and clinical studies in monkeys and man. Swed Dent J Suppl. 1988;56:1-75. PubMed PMID: 3201386.
18. Andersson L, Bodin I, Sörensen S. Progression of root resorption following replantation of human teeth after extended extraoral storage. Endod Dent Traumatol. 1989;5(1):38-47. doi: 10.1111/j.1600-9657.1989.tb00335.x. PubMed PMID: 2598883.
19. Agabiti I, Capparè P, Gherlone EF, Mortellaro C, Bruschi GB, Crespi R. New surgical technique and distraction osteogenesis for ankylosed dental movement. J Craniofac Surg. 2014;25(3):828-30. doi: 10.1097/scs.0000000000000737. PubMed PMID: 24777021.
20. Stange KM, Lindsten R, Bjerklin K. Autotransplantation of premolars to the maxillary incisor region: a long-term follow-up of 12-22 years. Eur J Orthod. 2016;38(5):508-15. Epub 20151021. doi: 10.1093/ejo/cjv078. PubMed PMID: 26490395.
21. Malmgren B, Cvek M, Lundberg M, Frykholm A. Surgical treatment of ankylosed and infrapositioned reimplanted incisors in adolescents. Scand J Dent Res. 1984;92(5):391-9. doi: 10.1111/j.1600-0722.1984.tb00907.x. PubMed PMID: 6593804.
22. Huang G, Yang M, Qali M, Wang TJ, Li C, Chang YC. Clinical Considerations in Orthodontically Forced Eruption for Restorative Purposes. J Clin Med. 2021;10(24). Epub 20211218. doi: 10.3390/jcm10245950. PubMed PMID: 34945246; PubMed Central PMCID: PMCPMC8706734.